PATENT™ SYMBIONIC TEETH
Symbionic Teeth are the latest generation of tooth replacement solutions - a consistent advancement of dental implants.
They are characterized by a mucosal defense barrier in the soft tissue, which is similar to that of a natural tooth.

PATENT™ SYMBIONIC TEETH
Symbionic Teeth are the latest generation of tooth replacement solutions - a consistent advancement of dental implants.
They are characterized by a mucosal defense barrier in the soft tissue, which is similar to that of a natural tooth.

THE NEXT GENERATION IN
TOOTH REPLACEMENT
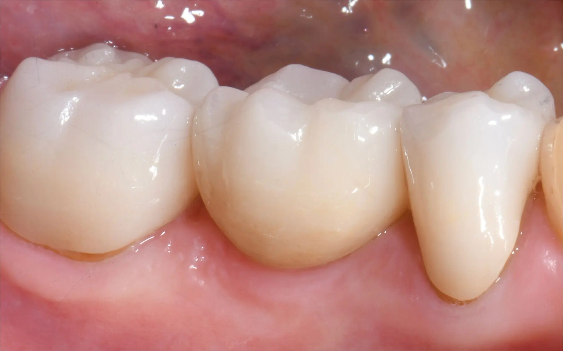
Symbionic Teeth are a tooth replacement solution that represents a consistent advancement of dental implants, characterized by having a defense barrier within the soft tissue.
For the first time the mucosal defense barrier could be restored around a tooth replacement solution, which is the key difference to dental implants.
Scientific long-term studies have underlined the importance of this defense barrier. The result is long-term tissue health and unrivaled esthetic outcomes.
THE NEXT GENERATION IN TOOTH REPLACEMENT
Symbionic Teeth are a tooth replacement solution that represents a consistent advancement of dental implants, characterized by having a defense barrier within the soft tissue.
For the first time the mucosal defense barrier could be restored around a tooth replacement solution, which is the key difference to dental implants.
Scientific long-term studies have underlined the importance of this defense barrier. The result is long-term tissue health and unrivaled esthetic outcomes.
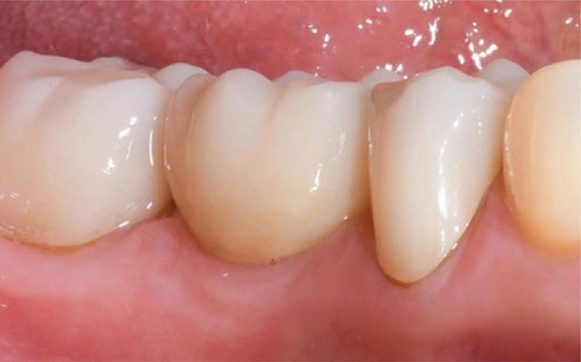
MUCOSAL DEFENSE BARRIER
When a tooth is lost, the surrounding soft-tissue barrier is lost as well - a protection that dental implants cannot restore. Without this barrier, plaque and bacteria easily penetrate deep into the tissues, triggering inflammation of both soft tissue and bone.
Similar to the attachment between soft tissue and the collar of natural teeth, a unique bonding of soft tissue to the collar of symbionic teeth could be shown.
Patent™ Symbionic Teeth are the only tooth replacement solution with a scientifically proven mucosal defense barrier.
MUCOSAL DEFENSE BARRIER
When a tooth is lost, the surrounding soft-tissue barrier is lost as well - a protection that dental implants cannot restore. Without this barrier, plaque and bacteria easily penetrate deep into the tissues, triggering inflammation of both soft tissue and bone.
Similar to the attachment between soft tissue and the collar of natural teeth, a unique bonding of soft tissue to the collar of symbionic teeth could be shown.
Patent™ Symbionic Teeth are the only tooth replacement solution with a scientifically proven mucosal defense barrier.
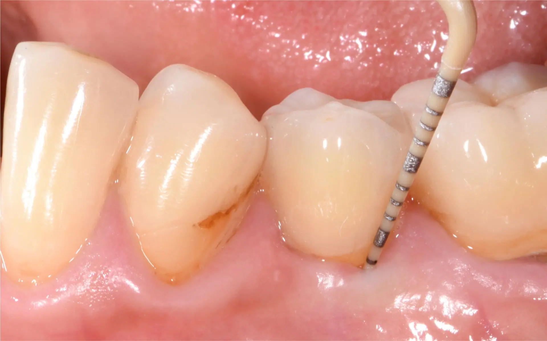
MEDICAL VALUE: MINIMIZED SIDE EFFECTS
Two peer-reviewed long-term studies on Patent™ Symbionic Teeth reported exceptional outcomes with no cases of peri-implantitis. The risk of tissue inflammation is reduced to the maximum.

MEDICAL VALUE: MINIMIZED SIDE EFFECTS
Two peer-reviewed long-term studies on Patent™ Symbionic Teeth reported exceptional outcomes with no cases of peri-implantitis. The risk of tissue inflammation is reduced to the maximum.

THE BREAKTHROUGH IN RECONSTRUCTIVE DENTISTRY
THE BREAKTHROUGH IN RECONSTRUCTIVE DENTISTRY
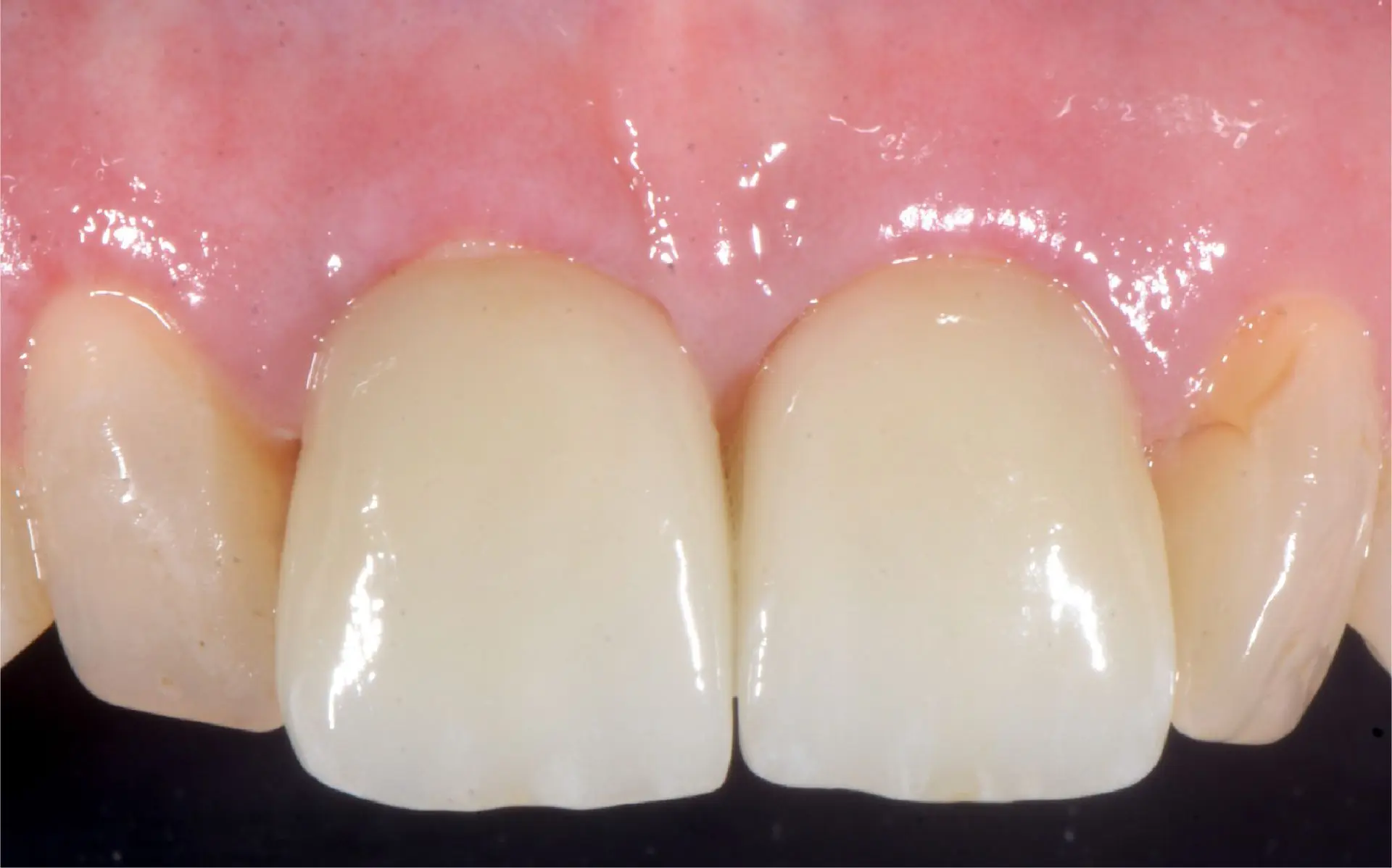
UNRIVALED ESTHETIC RESULTS
Average mucosal recession after 9 years:
0.1 mm (±0.2 mm)

UNRIVALLED ESTHETIC RESULTS
Average mucosal recession after 9 years:
0.1 mm (±0.2 mm)


SCIENTIFICALLY VALIDATED & CLINICALLY PROVEN
MULTIPLE PEER-REVIEWED STUDIES
SCIENTIFICALLY VALIDATED & CLINICALLY PROVEN
20 YEARS OF CLINICAL PRACTICE
See Study
20 YEARS OF CLINICAL
PRACTICE
BECOME A CERTIFIED PARTNER
BECOME A CERTIFIED PARTNER
Patent Medical works exclusively with top-tier specialists who are expertly trained in applying the award-winning Patent™ Symbionic Teeth System, ensuring the highest quality of patient care. Ready to become a Patent™ Certified Partner?
Patent Medical works exclusively with top-tier specialists who are expertly trained in applying the award-winning Patent™ Symbionic Teeth System, ensuring the highest quality of patient care. Ready to become a Patent™ Certified Partner?

LASTING A LIFETIME
