Zum Inhalt springen

KLINISCHE FÄLLE

ENTDECKEN SIE UNSERE AUSWAHL AN

KLINISCHEN FÄLLEN​

EINZELZAHNVERSORGUNG BEI EINEM PATIENTEN MIT RISIKOFAKTOREN

Der Zahn 35 wurde extrahiert. 8 Woche später wurde ein Symbionic Tooth inseriert. 4.5 Jahre später zeigt sich eine gesunde und stabile Weichgewebesituation mit geringen Sondierungstiefen.

EINZELZAHNVERSORGUNG MIT EINEM INDIVIDUALISIERTEN SYMBIONIC TOOTH 

Eine alte Versorgung (45–47) wurde entfernt, und ein Symbionic Tooth wurde in Regio 46 inseriert. Alle Regionen erhielten Einzelkronen. Sechs Jahre postoperativ zeigte Regio 46 ein gesundes Weichgewebe.

SOFORTVERSORGUNG MIT SYMBIONIC TEETH IN DER ÄSTHETISCHEN ZONE 

Alte Versorgungen der Zähne 11 und 21 wurden entfernt und die Zahnwurzeln extrahiert. Zwei Symbionic Teeth wurden sofortinseriert und anschliessend mit Einzelkronen versorgt.

EINZELZAHNVERSORGUNG BEI EINEM PATIENTEN MIT RISIKOFAKTOREN

Der Zahn 35 wurde extrahiert. 8 Woche später wurde ein Symbionic Tooth inseriert. 4.5 Jahre später zeigt sich eine gesunde und stabile Weichgewebesituation mit geringen Sondierungstiefen.

EINZELZAHNVERSORGUNG MIT EINEM INDIVIDUALISIERTEN SYMBIONIC TOOTH 

Eine alte Versorgung (45–47) wurde entfernt, und ein Symbionic Tooth wurde in Regio 46 inseriert. Alle Regionen erhielten Einzelkronen. Sechs Jahre postoperativ zeigte Regio 46 ein gesundes Weichgewebe.

SOFORTVERSORGUNG MIT SYMBIONIC TEETH IN DER ÄSTHETISCHEN ZONE 

Alte Versorgungen der Zähne 11 und 21 wurden entfernt und die Zahnwurzeln extrahiert. Zwei Symbionic Teeth wurden sofortinseriert und anschliessend mit Einzelkronen versorgt.

EINZELZAHNVERSORGUNG BEI EINEM PATIENTEN MIT RISIKOFAKTOREN​

Dr. Roland Glauser, Zürich, Schweiz

2 Wochen postoperativ: reizfreies Weichgewebe.

5 Tage postoperativ: stadiengerechte Heilung.

Situation nach der Insertion.

3 Monate nach der Zahnextraktion, vor der Insertion.

Dr. Roland Glauser
Zürich, Schweiz


Patient: 
Männlich, 48 Jahre

Operationsjahr: 
2021

Follow-up Zeitraum: 
4.5 Jahre



2 Wochen postoperativ: reizfreies Weichgewebe.

5 Tage postoperativ: stadiengerechte Heilung.

Situation nach der Insertion.

3 Monate nach der Zahnextraktion, vor der Insertion.

EINZELZAHNVERSORGUNG BEI EINEM PATIENTEN MIT RISIKOFAKTOREN

4.5 Jahre postoperativ: gesundes Weichgewebe, geringe Sondierungstiefen.

3 Jahre postoperativ: gesundes und stabiles Weichgewebe.

3 Monate postoperativ, vor der prothetischen Versorgung.

6 Wochen postoperativ: reizfreies Weichgewebe.

4.5 Jahre postoperativ: gesundes Weich-gewebe, geringe Sondierungstiefen.

3 Jahre postoperativ: gesundes und stabiles Weichgewebe.

3 Monate postoperativ, vor der prothetischen Versorgung.

6 Wochen postoperativ: reizfreies Weichgewebe.

Ausgangssituation

Der Zahn 35 des Patienten musste aufgrund einer tiefen Karies und einer akuten Pulpitis alio loco extrahiert werden. Acht Wochen späterstellte sich der Patient in der Praxis des Autors mit dem Wunsch nach einer festsitzenden Versorgung in diesem Bereich vor. Die Weichgewebsdicke betrug drei Millimeter. Ein leichter horizontaler Kammkollaps lag vor. Der überkronte benachbarte Zahn 36 zeigte eine kariöse Läsion.

Anamnestisch wurde ein eingestellter Diabetes mellitus Typ 2 festgestellt, ein Nikotinabusus von 20 Zigaretten/Tag, eine regelmässige Benzodiazepin-Einnahme sowie eine unzureichende Mundhygiene (BOP-Index: 38%).
Geplant war die Insertion eines Symbionic Tooth im abgeheilten zahnlosen Bereich 35, die Behandlung des Zahnes 36 sowie die Versorgung beider Regionen mit neuen Einzelkronen.


Chirurgische Lösung

Ein modifizierter Mini-Rolllappen wurde präpariert. Die Aufbereitung der Osteotomie erfolgte gemäss dem chirurgischen Protokoll für Knochenklasse III. Der Patent™ Symbionic Tooth wurde bei niedriger Drehzahl und mit einem finalen Drehmoment von 11 Ncm inseriert.


Prothetische Lösung

Drei Monate nach der Insertion wurde der Glasfaseraufbau adhäsiv befestigt und präpariert. Anschliessend wurde der gesamte Zahnbogen abgeformt. Die Versorgung des Symbionic Tooth 35 sowie des natürlichen Zahns 36 erfolgte durch die Zementierung von teilverblendeten, individuell charakterisierten Zirkonkronen.


Ergebnis

Viereinhalb Jahre nach der Insertion zeigt sich eine Situation, die mit der eines gesunden natürlichen Zahns vergleichbar ist. Sie ist gekennzeichnet durch ein gesundes und stabiles Weichgewebe sowie geringe Sondierungstiefen (Abb. 8).

Ausgangssituation

Der Zahn 35 des Patienten musste aufgrund einer tiefen Karies und einer akuten Pulpitis alio loco extrahiert werden. Acht Wochen späterstellte sich der Patient in der Praxis des Autors mit dem Wunsch nach einer festsitzenden Versorgung in diesem Bereich vor. Die Weichgewebsdicke betrug drei Millimeter. Ein leichter horizontaler Kammkollaps lag vor. Der überkronte benachbarte Zahn 36 zeigte eine kariöse Läsion. Anamnestisch wurde ein eingestellter Diabetes mellitus Typ 2 festgestellt, ein Nikotinabusus von 20 Zigaretten/Tag, eine regelmässige Benzodiazepin-Einnahme sowie eine unzureichende Mundhygiene (BOP-Index: 38%). 

Geplant war die Insertion eines Symbionic Tooth im abgeheilten zahnlosen Bereich 35, die Behandlung des Zahnes 36 sowie die Versorgung beider Regionen mit neuen Einzelkronen.


Chirurgische Lösung

Ein modifizierter Mini-Rolllappen wurde präpariert. Die Aufbereitung der Osteotomie erfolgte gemäss dem chirurgischen Protokoll für Knochenklasse III. Der Patent™ Symbionic Tooth wurde bei niedriger Drehzahl und mit einem finalen Drehmoment von 11 Ncm inseriert.


Prothetische Lösung

Drei Monate nach der Insertion wurde der Glasfaseraufbau adhäsiv befestigt und präpariert. Anschliessend wurde der gesamte Zahnbogen abgeformt. Die Versorgung des Symbionic Tooth 35 sowie des natürlichen Zahns 36 erfolgte durch die Zementierung von teilverblendeten, individuell charakterisierten Zirkonkronen.


Ergebnis

Viereinhalb Jahre nach der Insertion zeigt sich eine Situation, die mit der eines gesunden natürlichen Zahns vergleichbar ist. Sie ist gekennzeichnet durch ein gesundes und stabiles Weichgewebe sowie geringe Sondierungstiefen (Abb. 8).


Dr. Sebastian Horvath
Jestetten, Deutschland


Patient: 
Weiblich, 54 Jahre alt

Operationsjahr:
2019

Follow-up-Zeitraum: 
6 Jahre


3 Monate nach der Insertion, vor dem Bonding und der Präparation des Stiftaufbaus.

3 Monate nach der Insertion.


Situation nach der Insertion.

Ausgangssituation.


EINZELZAHNVERSORGUNG MIT EINEM INDIVIDUALISIERTEN SYMBIONIC TOOTH

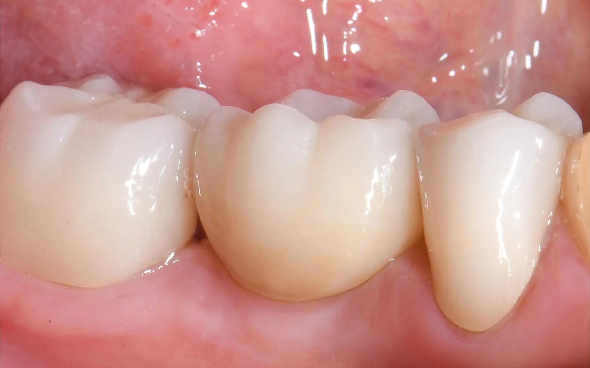
6 Jahre postoperativ: gesundes und stabiles Weichgewebe.

3.5 Jahre postoperativ: gesundes und stabiles Weichgewebe.

Situation nach Eingliederung der finalen Kronen.

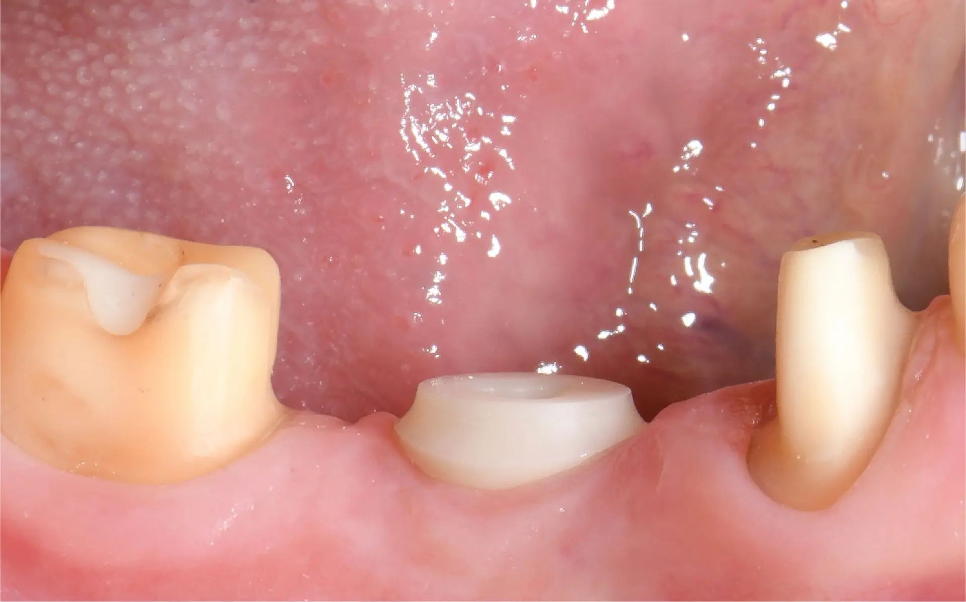
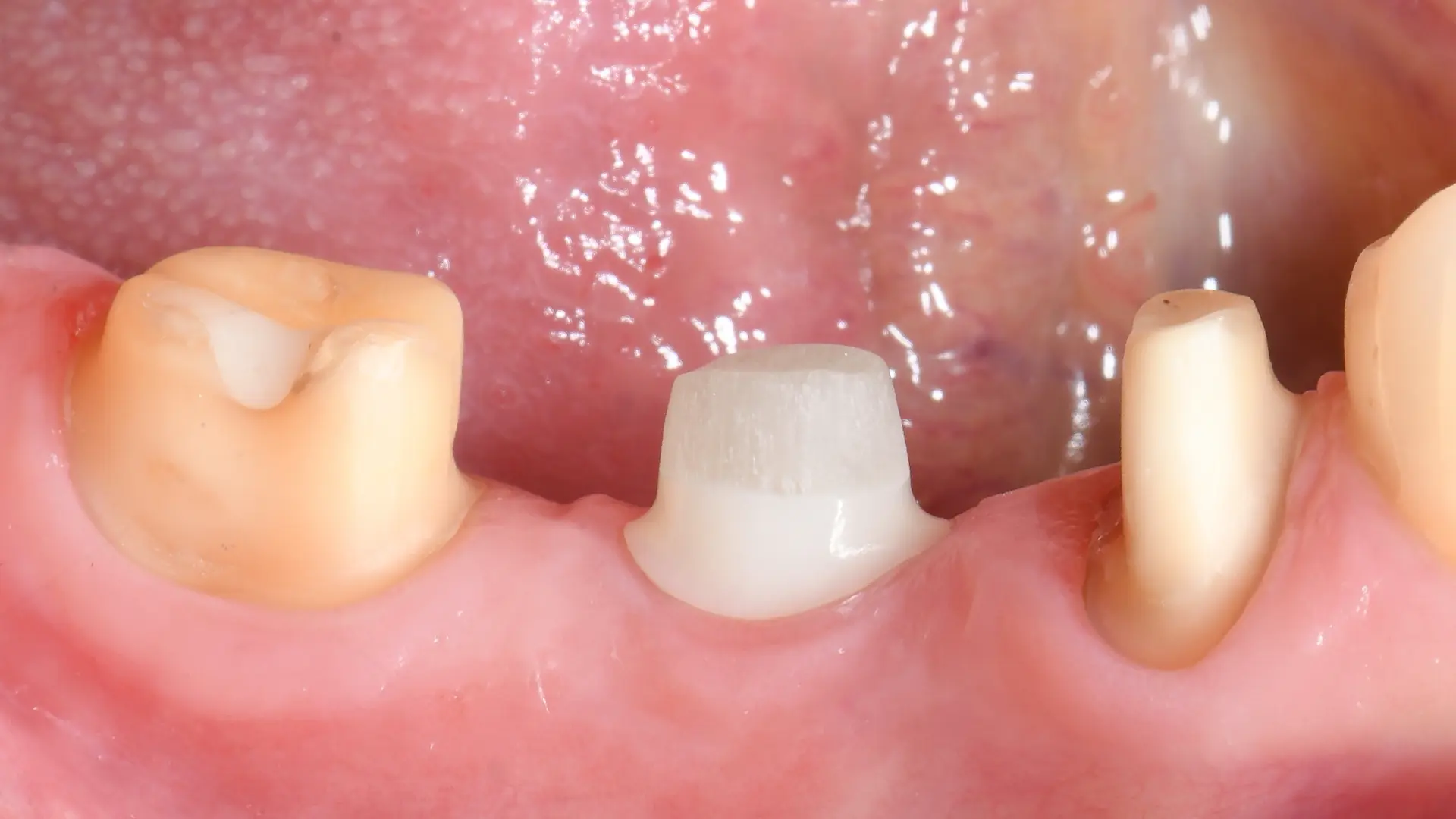
Situation nach Präparation des Stiftaufbaus und der Schulter des Symbionic Tooth.​

EINZELZAHNVERSORGUNG MIT EINEM INDIVIDUALISIERTEN SYMBIONIC TOOTH

Dr. Sebastian Horvath, Jestetten, Deutschland

3 Monate nach der Insertion, vor dem Bonding und der Präparation des Stiftaufbaus.

3 Monate nach der Insertion.

Situation nach der Insertion.

Ausgangssituation

6 Jahre postoperativ: gesundes und stabiles Weichgewebe.

3.5 Jahre postoperativ: gesundes und stabiles Weichgewebe.

Situation nach Eingliederung der finalen Kronen.

Situation nach Präparation des Stiftaufbaus und der Schulter des Symbionic Tooth.​

Ausgangssituation

Eine vor rund 20 Jahren eingesetzte Versorgung der Regionen 45, 46 und 47 musste ersetzt werden. In Regio 46 lag Zahnlosigkeit vor. Zahn 45 war endodontisch versorgt, während Zahn 47 aufgrund schlecht sitzender Kronenränder eine erhöhte Sensibilität aufwies. Geplant war die Insertion eines Symbionic Tooth in Regio 46 und die Versorgung der drei Regionen mit Einzelkronen.


Chirurgische Situation

In Regio 46 wurde ein Vollschichtlappen präpariert und die Bohrschablone positioniert. Die Präparation der Osteotomie erfolgte bei 600 U/min gemäss dem chirurgischen Protokoll für D2-Knochen. Anschliessend wurde ein Patent™ Symbionic Tooth mit einem moderaten finalen Drehmoment von 30 Ncm inseriert. Die 3C™ Verbindung wurde mit Teflonband versiegelt.


Prothetische Lösung

Drei Monate nach der Insertion wurde der Glasfaserstiftaufbau in der 3C™ Verbindung adhäsiv befestigt und mit Diamanten unterschiedlicher Körnung bei hoher Geschwindigkeit präpariert. Um ein optimales Emergenzprofil zu gewährleisten, wurde auch die Schulter des Symbionic Tooth präpariert. Anschliessend wurde der gesamte Zahnbogen einschliesslich des präparierten Stiftaufbaus intraoral gescannt. In der darauffolgenden Sitzung erfolgte die Zementierung von monolithischen Zirkonkronen.


Ergebnis

Im Vergleich zur Situation unmittelbar nach der finalen Kronenversorgung (Abb. 6) zeigt sich um den Symbionic Tooth auch nach sechs Jahren ein gesundes und stabiles Weichgewebe. An den natürlichen Zähnen 45 und 47 sind hingegen Anzeichen einer Gingivarezession zu beobachten (Abb. 8). 

SOFORTVERSORGUNG MIT SYMBIONIC TEETH IN DER ÄSTHETISCHEN ZONE

Dr. Fabio Rossi, Dr. Filippo Battelli
Studio Dentisitco. Bologna, Rimini, Italien

2 Monate postoperativ: gesundes Weichgewebe.

4 Wochen postoperativ: reizfreies Weichgewebe.

1 Woche postoperativ: stadiengerechte Heilung.

3 Tage postoperativ: stadiengerechte Heilung.

Ausgangssituation

Eine vor rund 20 Jahren eingesetzte Versorgung der Regionen 45, 46 und 47 musste ersetzt werden. In Regio 46 lag Zahnlosigkeit vor. Zahn 45 war endodontisch versorgt, während Zahn 47 aufgrund schlecht sitzender Kronenränder eine erhöhte Sensibilität aufwies. Geplant war die Insertion eines Symbionic Tooth in Regio 46 und die Versorgung der drei Regionen mit Einzelkronen. 


Chirurgische Lösung

In Regio 46 wurde ein Vollschichtlappen präpariert und die Bohrschablone positioniert. Die Präparation der Osteotomie erfolgte bei 600 U/min gemäss dem chirurgischen Protokoll für D2-Knochen. Anschliessend wurde ein Patent™ Symbionic Tooth mit einem moderaten finalen Drehmoment von 30 Ncm inseriert. Die 3C™ Verbindung wurde mit Teflonband versiegelt.


Prothetische Lösung

Drei Monate nach der Insertion wurde der Glasfaserstiftaufbau in der 3C™ Verbindung adhäsiv befestigt und mit Diamanten unterschiedlicher Körnung bei hoher Geschwindigkeit präpariert. Um ein optimales Emergenzprofil zu gewährleisten, wurde auch die Schulter des Symbionic Tooth präpariert. Anschliessend wurde der gesamte Zahnbogen einschliesslich des präparierten Stiftaufbaus intraoral gescannt. In der darauffolgenden Sitzung erfolgte die Zementierung von monolithischen Zirkonkronen.


Ergebnis

Im Vergleich zur Situation unmittelbar nach der finalen Kronenversorgung (Abb. 6) zeigt sich um den Symbionic Tooth auch nach sechs Jahren ein gesundes und stabiles Weichgewebe. An den natürlichen Zähnen 45 und 47 sind hingegen Anzeichen einer Gingivarezession zu beobachten (Abb. 8). 


SOFORTVERSORGUNG MIT SYMBIONIC TEETH IN DER ÄSTHETISCHEN ZONE

Dr. Fabio Rossi
Dr. Filippo Battelli
Studio Dentisitco
Bologna, Rimini
Italien


Patient: 
Weiblich, 55 Jahre alt

Operationsjahr:
2021

Follow-up-Zeitraum: 
3 Jahre

2 Monate postoperativ: gesundes Weichgewebe.

4 Wochen postoperativ: reizfreies Weichgewebe.

1 Woche postoperativ: stadiengerechte Heilung.

3 Tage postoperativ: stadiengerechte Heilung.

6 Monate nach Eingliederung der finalen Kronen: gesundes Weichgewebe.

15 Tage nach der Eingliederung der finalen Kronen: gesundes Weichgewebe.

1 Woche nach Eingliederung der finalen Kronen: gesundes Weichgewebe.

Situation nach Eingliederung der finalen Kronen (3 Monate postoperativ).

6 Monate nach Eingliederung der finalen Kronen: gesundes Weichgewebe.

15 Tage nach der Eingliederung der finalen Kronen: gesundes Weichgewebe.

1 Woche nach Eingliederung der finalen Kronen: gesundes Weichgewebe.

Situation nach Eingliederung der finalen Kronen (3 Monate postoperativ).

3 Jahre nach Eingliederung der finalen Kronen: gesundes und stabiles Weichgewebe.

2 Jahre nach Eingliederung der finalen Kronen: gesundes und stabiles Weichgewebe.

3 Jahre nach Eingliederung der finalen Kronen: gesundes und stabiles Weichgewebe.

2 Jahre nach Eingliederung der finalen Kronen: gesundes und stabiles Weichgewebe.

Ausgangssituation

Die Patientin stellte sich aufgrund insuffizienter endodontischer Versorgungen der Zähne 11 und 21 mit dem Wunsch nach einer Sanierung dieser Regionen vor. Der Behandlungsplan sah vor, die alten Versorgungen zu entfernen, die darunterliegenden Zahnwurzeln zu extrahieren und unmittelbar danach zwei Symbionic Teeth zu inserieren, die nach erfolgreicher Integration mit finalen Einzelkronen versorgt werden sollten.


Chirurgische Situation

Nach vestibulärer Inzision in den Bereichen 11 und 21 wurden die alten Versorgungen entfernt. Anschliessend erfolgte die Extraktion der verbleibenden Zahnwurzeln sowie die Kürettage der Alveolen. Eine Bohrschablone wurde positioniert und die Osteotomien wurden gemäss dem chirurgischen Protokoll für D3-Knochen bei 600 U/min präpariert. Die Insertion der Patent™ Symbionic Teeth erfolgte mit einem moderaten finalen Drehmoment.​


Prothetische Lösung

Die Glasfaserstiftaufbauten wurden zwei Monate nach der Insertion adhäsiv befestigt und präpariert. Anschliessend erfolgte der Scan des gesamten Zahnbogens, einschliesslich der präparierten Stiftaufbauten. Danach wurden die Stiftaufbauten mit Glycerinöl isoliert, bevor sie mit provisorischen Kronen unter Verwendung eines temporären Zements versorgt wurden. Die finale Kronenversorgung erfolgte nach einer Einheilzeit von drei Monaten.​


Ergebnis

Drei Jahre nach Eingliederung der finalen Kronen (Abb. 8) zeigt sich ein zufriedenstellendes Ergebnis, das durch ein gesundes und stabiles Weichgewebe und folglich eine exzellente Ästhetik gekennzeichnet ist.


Ausgangssituation

Die Patientin stellte sich aufgrund insuffizienter endodontischer Versorgungen der Zähne 11 und 21 mit dem Wunsch nach einer Sanierung dieser Regionen vor. Der Behandlungsplan sah vor, die alten Versorgungen zu entfernen, die darunterliegenden Zahnwurzeln zu extrahieren und unmittelbar danach zwei Symbionic Teeth zu inserieren, die nach erfolgreicher Integration mit finalen Einzelkronen versorgt werden sollten.


Chirurgische Lösung

Nach vestibulärer Inzision in den Bereichen 11 und 21 wurden die alten Versorgungen entfernt. Anschliessend erfolgte die Extraktion der verbleibenden Zahnwurzeln sowie die Kürettage der Alveolen. Eine Bohrschablone wurde positioniert und die Osteotomien wurden gemäss dem chirurgischen Protokoll für D3-Knochen bei 600 U/min präpariert. Die Insertion der Patent™ Symbionic Teeth erfolgte mit einem moderaten finalen Drehmoment.​

inserted to moderate final torque. 


Prothetische Lösung

Die Glasfaserstiftaufbauten wurden zwei Monate nach der Insertion adhäsiv befestigt und präpariert. Anschliessend erfolgte der Scan des gesamten Zahnbogens, einschliesslich der präparierten Stiftaufbauten. Danach wurden die Stiftaufbauten mit Glycerinöl isoliert, bevor sie mit provisorischen Kronen unter Verwendung eines temporären Zements versorgt wurden. Die finale Kronenversorgung erfolgte nach einer Einheilzeit von drei Monaten.​

Final crowns were delivered after 3 months of healing.


Ergebnis

Drei Jahre nach Eingliederung der finalen Kronen (Abb. 8) zeigt sich ein zufriedenstellendes Ergebnis, das durch ein gesundes und stabiles Weichgewebe und folglich eine exzellente Ästhetik gekennzeichnet ist.