Skip to Content

CLINICAL CASES

DISCOVER OUR SELECTION OF 

CLINICAL CASES

SINGLE TOOTH RESTORATION IN A PATIENT WITH RISK FACTORS

Tooth 35 was extracted. 8 weeks later, a symbionic tooth was placed. 4.5 years post-insertion, the site showed stable, healthy soft tissue and shallow probing depths.

SINGLE TOOTH RESTORATION WITH AN INDIVIDUALIZED SYMBIONIC TOOTH 

A failing restoration (45–47) was removed, and a symbionic tooth was placed at site 46. All sites received single crowns. Six years post-op, site 46 showed healthy soft tissue.

IMMEDIATE PLACEMENT OF SYMBIONIC TEETH IN THE ESTHETIC ZONE 

Failing restorations of teeth 11 and 21 were removed and the tooth roots extracted. Two symbionic teeth were immediately placed and later restored with single crowns.

SINGLE TOOTH RESTORATION IN A PATIENT WITH RISK FACTORS

Tooth 35 was extracted. 8 weeks later, a symbionic tooth was placed. 4.5 years post-insertion, the site showed stable, healthy soft tissue and shallow probing depths.

SINGLE TOOTH RESTORATION WITH AN INDIVIDUALIZED SYMBIONIC TOOTH 

A failing restoration (45–47) was removed, and a symbionic tooth was placed at site 46. All sites received single crowns. Six years post-op, site 46 showed healthy soft tissue.

IMMEDIATE PLACEMENT OF SYMBIONIC TEETH IN THE ESTHETIC ZONE 

Failing restorations of teeth 11 and 21 were removed and the tooth roots extracted. Two symbionic teeth were immediately placed and later restored with single crowns.

SINGLE TOOTH RESTORATION IN A PATIENT WITH RISK FACTORS

Dr. Roland Glauser, Zurich, Switzerland

2 weeks post-op: nonirritated soft tissue

5 days post-op: stage-appropriate healing

Situation after insertion

3 months after tooth extraction, before insertion

Dr. Roland Glauser
Zurich, Switzerland


Patient: 
Male, 48 years old

Time of surgery: 
2020

Follow-up period: 
4.5 years



2 weeks post-op: nonirritated soft tissue

5 days post-op: stage-appropriate healing

Situation after insertion

3 months after tooth extraction, before insertion

SINGLE TOOTH RESTORATION IN A PATIENT WITH RISK FACTORS

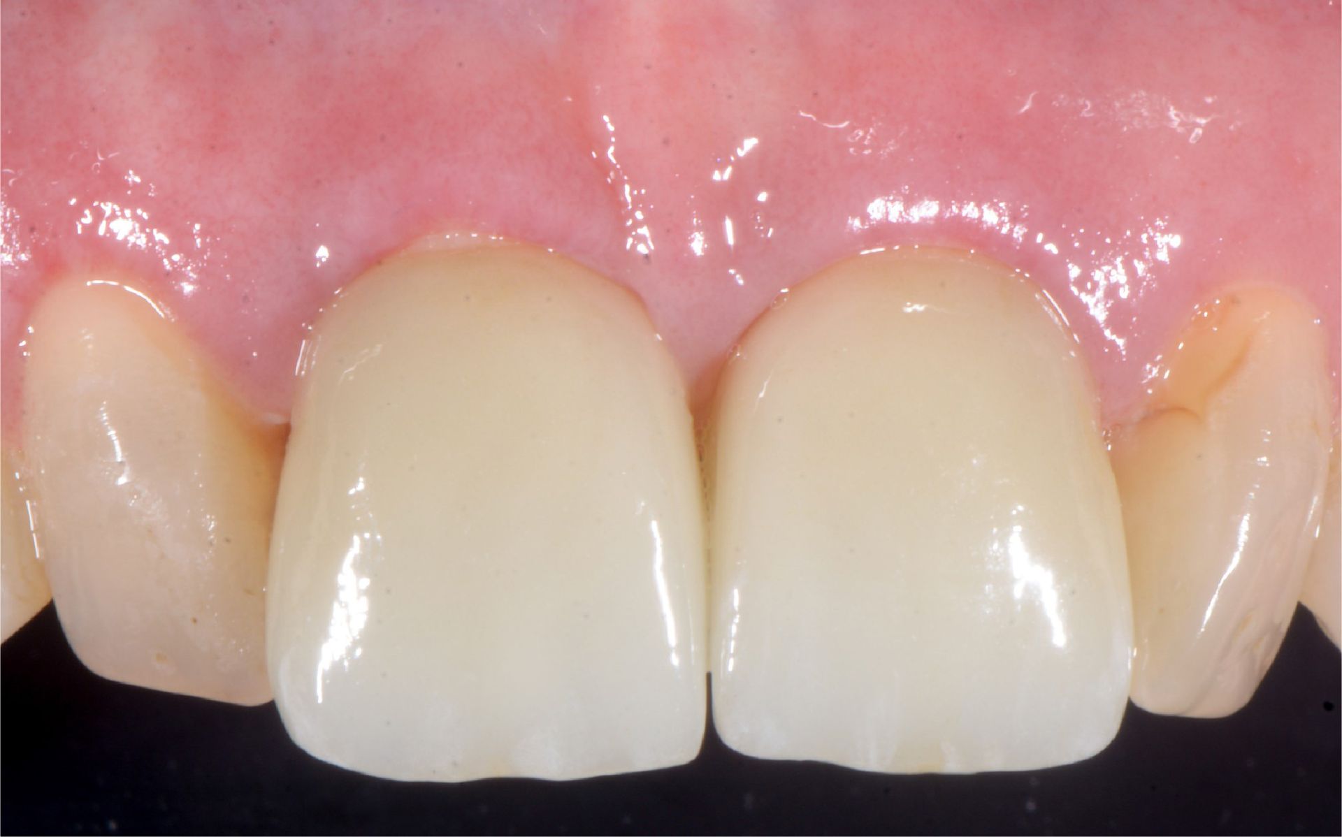
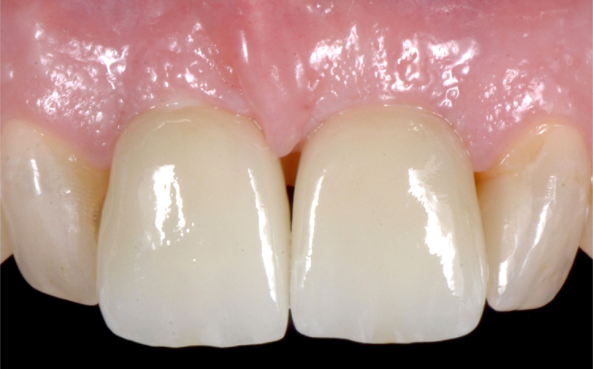
4.5 years post-op: healthy soft tissue, shallow probing depths

3 years post-op: healthy and stable soft tissue

3 months post-op, before prosthetic restoration

6 weeks post-op: nonirritated soft tissue

4.5 years post-op: healthy soft tissue, shallow probing depths

3 years post-op: healthy and stable soft tissue

3 months post-op, before prosthetic restoration

6 weeks post-op: nonirritated soft tissue

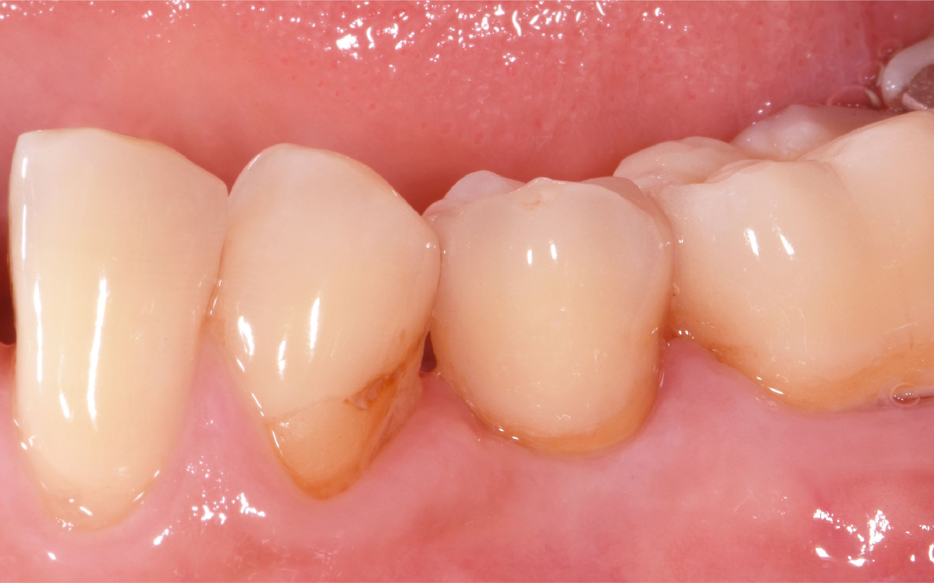
Clinical situation

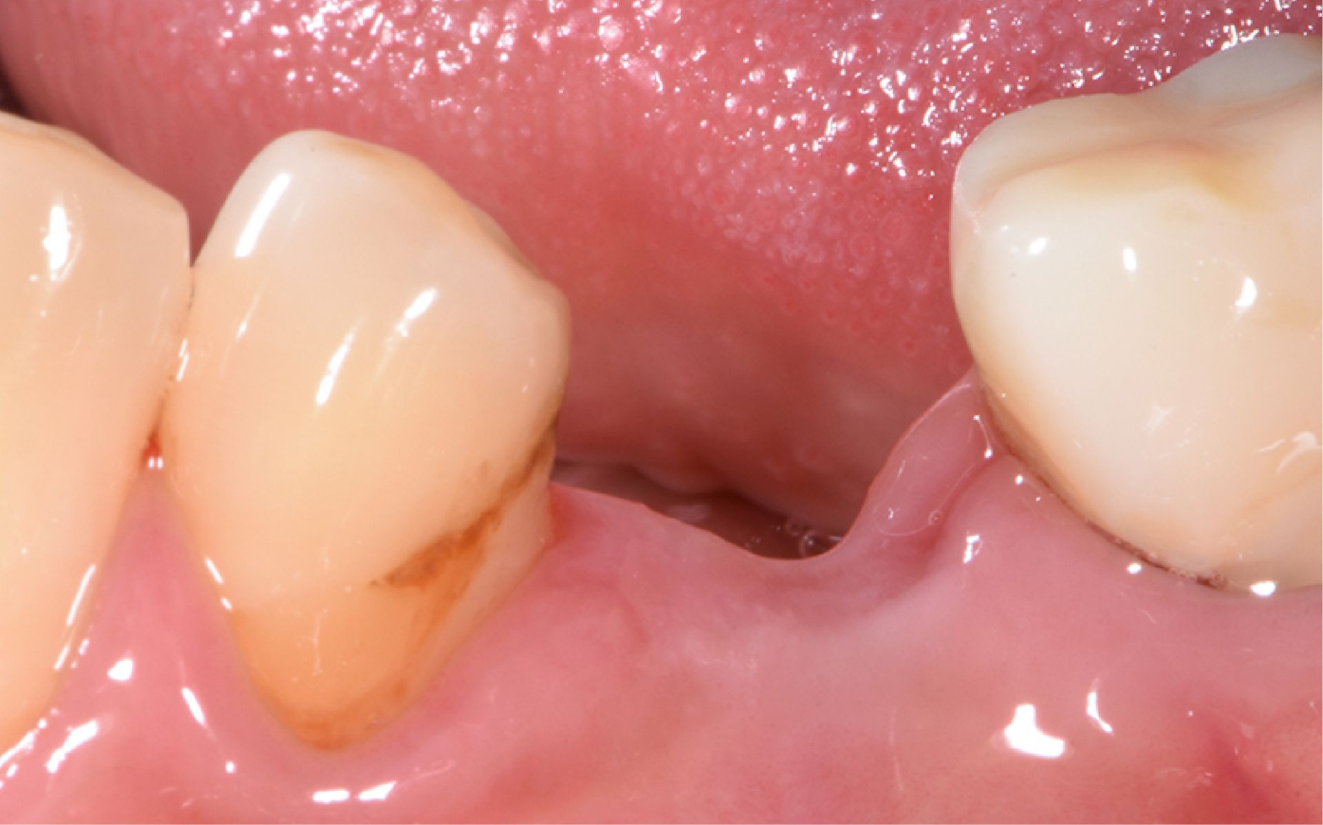
Tooth gap in region #35 following extraction elsewhere due to deep caries and acute pulpitis. The patient presented to the author’s practice eight weeks later requesting a fixed restoration. Slight horizontal ridge collapse. Soft-tissue thickness: 3 mm. Caries on adjacent crowned tooth #36. 

Planned: symbionic tooth in region #35, treatment of tooth #36, and new single-tooth crowns on #35 and #36. Medical history included controlled Type 2 diabetes, smoking (20 cigarettes/ day), regular benzodiazepine use, and poor oral hygiene (BOP index: 38%).


Surgical solution

Modified mini-roll flap mobilized. Osteotomy prepared per protocol for D3 bone. Symbionic tooth inserted in region #35 at low speed with final torque of 11 Ncm. 


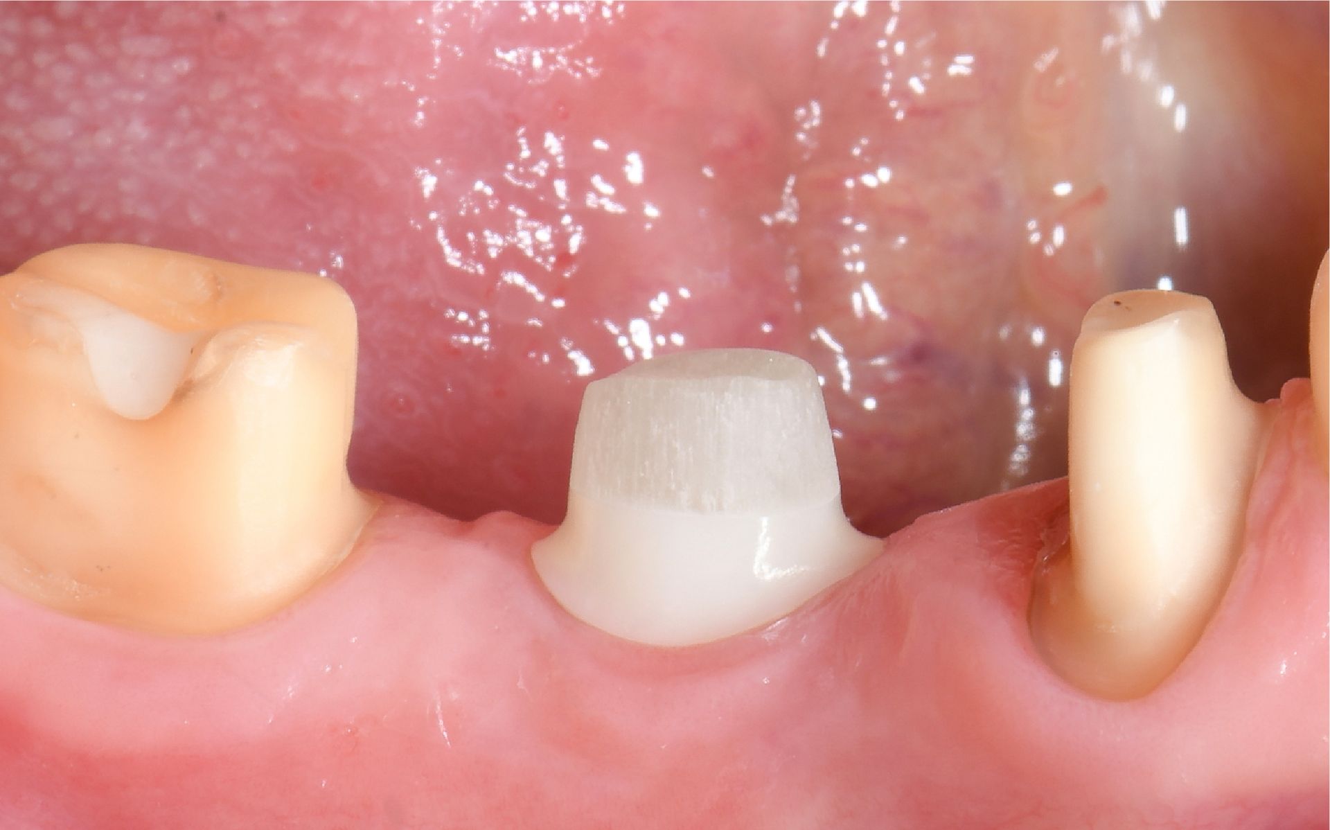
Restorative solution

Glass fiber post cemented and prepared 3 months post-op. Full-arch impression taken. Partially veneered, individually characterized zirconia crowns cemented on symbionic tooth #35 and natural tooth #36.


Outcome

The follow-up after 4.5 years revealed a situation comparable to that of a healthy natural tooth, marked by healthy and stable soft tissue and shallow probing depths (Fig. 8).

Clinical situation

Tooth gap in region #35 following extraction elsewhere due to deep caries and acute pulpitis. The patient presented to the author’s practice eight weeks later requesting a fixed restoration. Slight horizontal ridge collapse. Soft-tissue thickness: 3 mm. Caries on adjacent crowned tooth #36. 

Planned: symbionic tooth in region #35, treatment of tooth #36, and new single-tooth crowns on #35 and #36. Medical history included controlled Type 2 diabetes, smoking (20 cigarettes/ day), regular benzodiazepine use, and poor oral hygiene (BOP index: 38%).


Surgical solution

Modified mini-roll flap mobilized. Osteotomy prepared per protocol for D3 bone. Symbionic tooth inserted in region #35 at low speed with final torque of 11 Ncm. 


Restorative solution

Glass fiber post cemented and prepared 3 months post-op. Full-arch impression taken. Partially veneered, individually characterized zirconia crowns cemented on symbionic tooth #35 and natural tooth #36.


Outcome

The follow-up after 4.5 years revealed a situation comparable to that of a healthy natural tooth, marked by healthy and stable soft tissue and shallow probing depths (Fig. 8).


SINGLE TOOTH RESTORATION WITH AN INDIVIDUALIZED SYMBIONIC TOOTH

Dr. Sebastian Horvath, Jestetten, Germany

2 weeks post-op: nonirritated soft tissue

5 days post-op: stage-appropriate healing

Situation after insertion

3 months after tooth extraction, before insertion

SINGLE TOOTH RESTORATION WITH AN INDIVIDUALIZED SYMBIONIC TOOTH

Dr. Sebastian Horvath
Jestetten, Germany


Patient: 
Female, 54 years old

Time of surgery: 
2019

Follow-up period: 
6 years

2 weeks post-op: nonirritated soft tissue

5 days post-op: stage-appropriate healing

Situation after insertion

3 months after tooth extraction, before insertion

4.5 years post-op: healthy soft tissue, shallow probing depths

3 years post-op: healthy and stable soft tissue

3 months post-op, before prosthetic restoration

6 weeks post-op: nonirritated soft tissue

4.5 years post-op: healthy soft tissue, shallow probing depths

3 years post-op: healthy and stable soft tissue

3 months post-op, before prosthetic restoration

6 weeks post-op: nonirritated soft tissue

Clinical situation

Tooth gap in region #35 following extraction elsewhere due to deep caries and acute pulpitis. The patient presented to the author’s practice eight weeks later requesting a fixed restoration. Slight horizontal ridge collapse. Soft-tissue thickness: 3 mm. Caries on adjacent crowned tooth #36. 

Planned: symbionic tooth in region #35, treatment of tooth #36, and new single-tooth crowns on #35 and #36. Medical history included controlled Type 2 diabetes, smoking (20 cigarettes/ day), regular benzodiazepine use, and poor oral hygiene (BOP index: 38%).


Surgical solution

Modified mini-roll flap mobilized. Osteotomy prepared per protocol for D3 bone. Symbionic tooth inserted in region #35 at low speed with final torque of 11 Ncm. 


Restorative solution

Glass fiber post cemented and prepared 3 months post-op. Full-arch impression taken. Partially veneered, individually characterized zirconia crowns cemented on symbionic tooth #35 and natural tooth #36.


Outcome

The follow-up after 4.5 years revealed a situation comparable to that of a healthy natural tooth, marked by healthy and stable soft tissue and shallow probing depths (Fig. 8).

Clinical situation

Tooth gap in region #35 following extraction elsewhere due to deep caries and acute pulpitis. The patient presented to the author’s practice eight weeks later requesting a fixed restoration. Slight horizontal ridge collapse. Soft-tissue thickness: 3 mm. Caries on adjacent crowned tooth #36. 

Planned: symbionic tooth in region #35, treatment of tooth #36, and new single-tooth crowns on #35 and #36. Medical history included controlled Type 2 diabetes, smoking (20 cigarettes/ day), regular benzodiazepine use, and poor oral hygiene (BOP index: 38%).


Surgical solution

Modified mini-roll flap mobilized. Osteotomy prepared per protocol for D3 bone. Symbionic tooth inserted in region #35 at low speed with final torque of 11 Ncm. 


Restorative solution

Glass fiber post cemented and prepared 3 months post-op. Full-arch impression taken. Partially veneered, individually characterized zirconia crowns cemented on symbionic tooth #35 and natural tooth #36.


Outcome

The follow-up after 4.5 years revealed a situation comparable to that of a healthy natural tooth, marked by healthy and stable soft tissue and shallow probing depths (Fig. 8).


IMMEDIATE PLACEMENT OF SYMBIONIC TEETH IN THE ESTHETIC ZONE

Dr. Fabio Rossi, Dr. Filippo Battelli
Studio Dentisitco. Bologna, Rimini, Italy

2 months post-op: healthy soft tissue.

4 weeks post-op: nonirritated soft tissue.

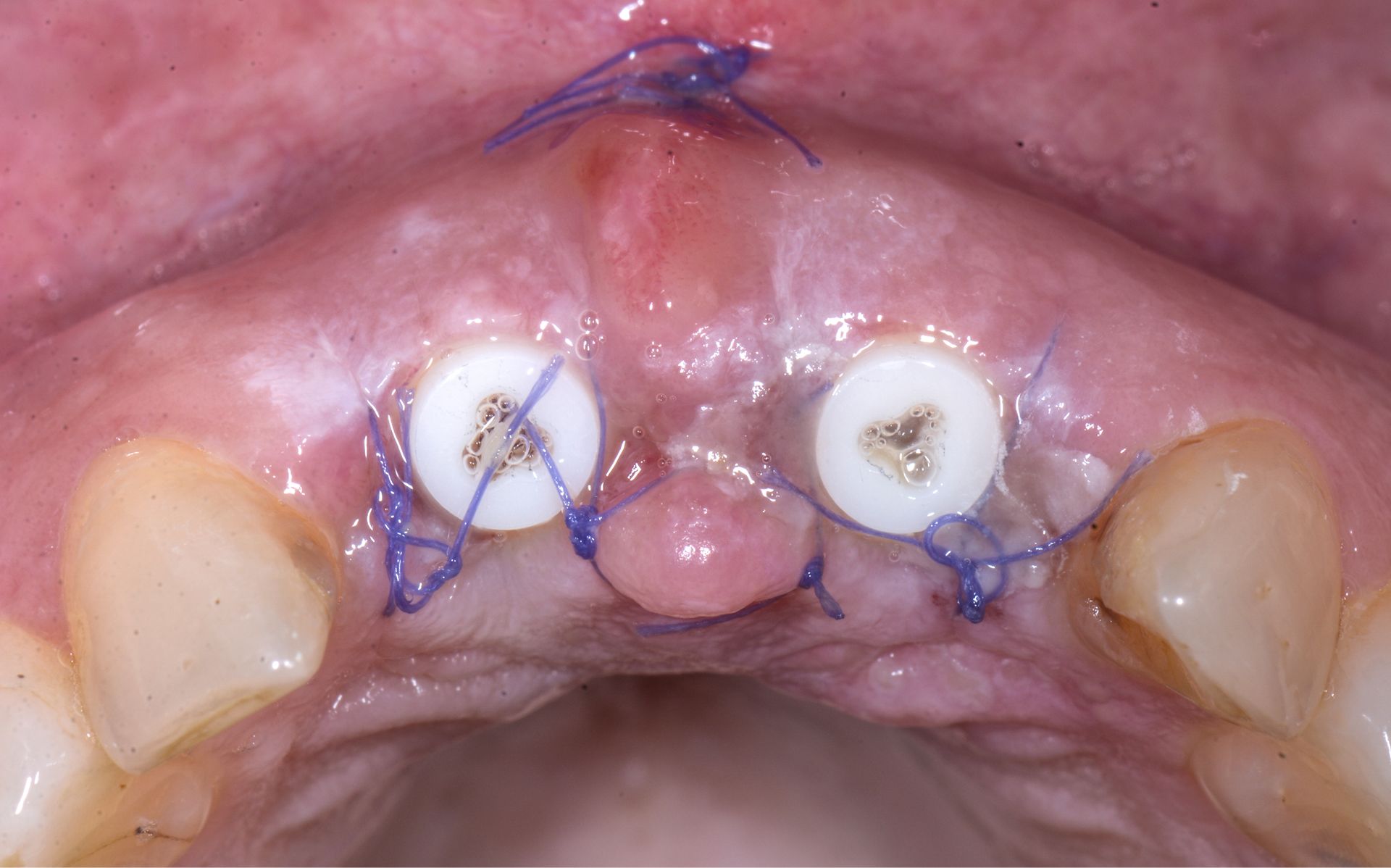
1 week post-op: stage-appropriate healing.

3 days post-op: stage-appropriate healing.

IMMEDIATE PLACEMENT OF SYMBIONIC TEETH IN THE ESTHETIC ZONE

Dr. Fabio Rossi
Dr. Filippo Battelli
Studio Dentisitco
Bologna, Rimini
Italy


Patient: 
Female, 55 years old

Time of surgery: 
2021

Follow-up period: 
3 years

2 months post-op: healthy soft tissue.

4 weeks post-op: nonirritated soft tissue.

1 week post-op: stage-appropriate healing.

3 days post-op: stage-appropriate healing.

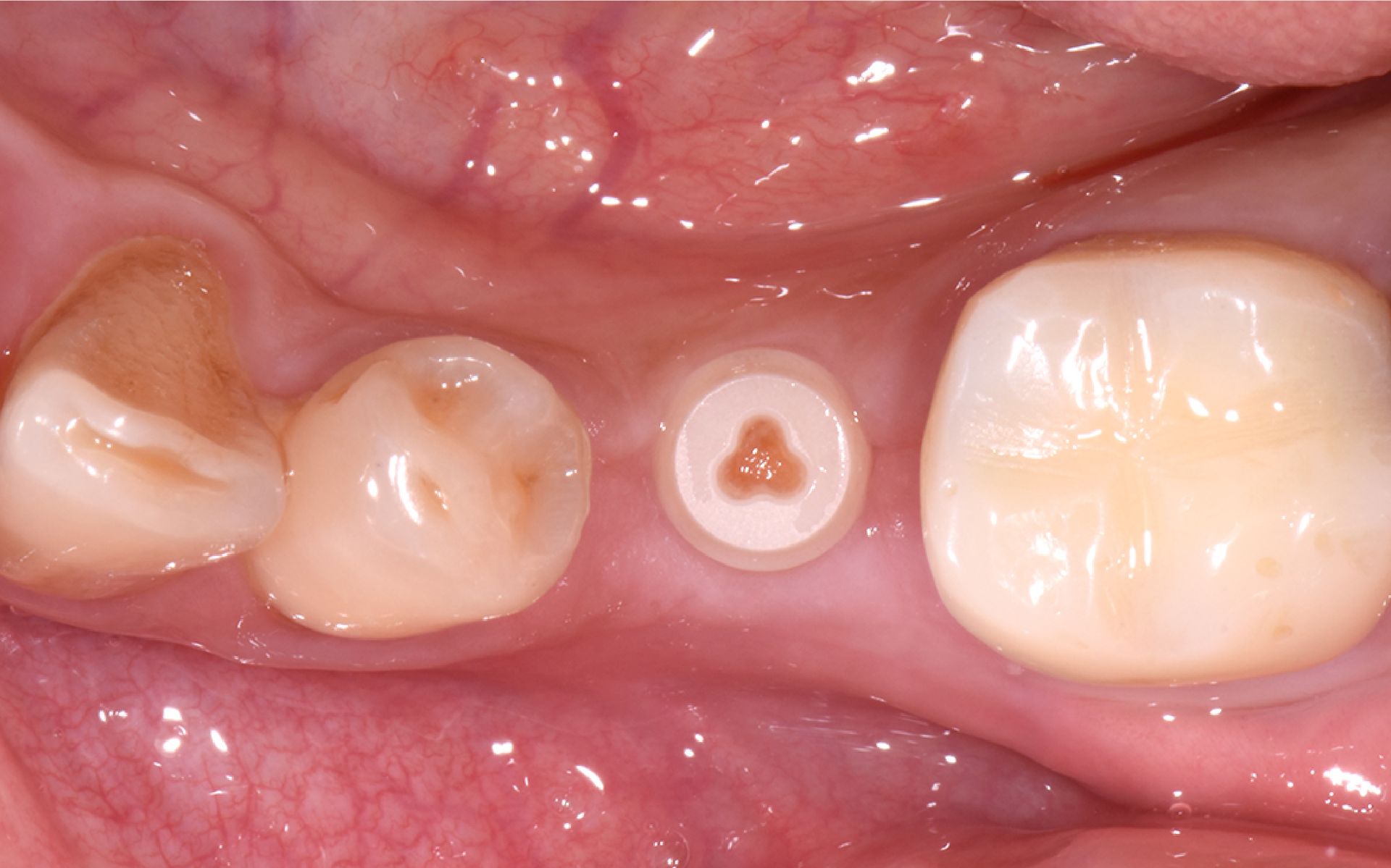
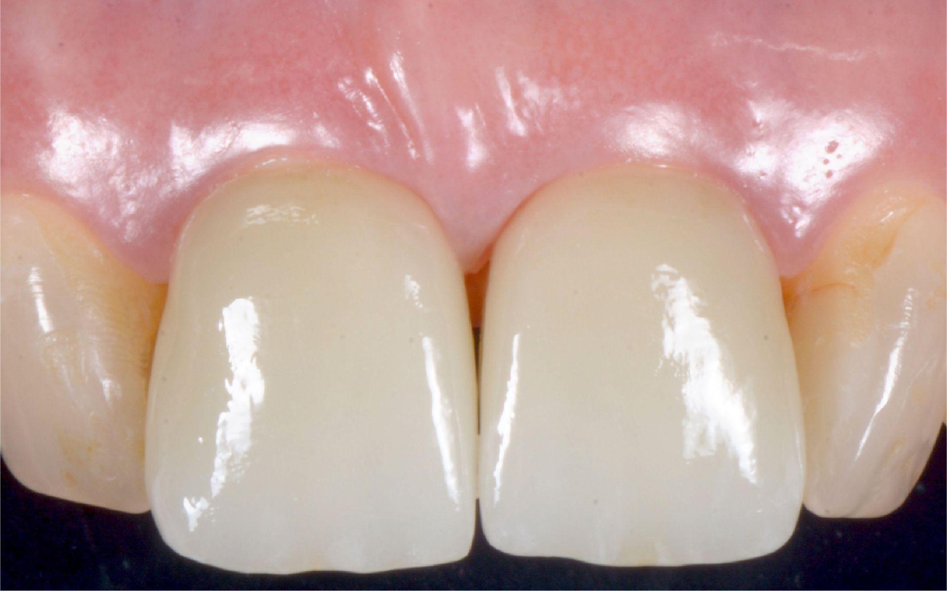
6 months after delivery of final crowns: healthy soft tissue.

15 days after delivery of final crowns: healthy soft tissue.

1 week after delivery of final crowns: healthy soft tissue.

Situation after delivery of final crowns (3 months post-op).

6 months after delivery of final crowns: healthy soft tissue.

15 days after delivery of final crowns: healthy soft tissue.

1 week after delivery of final crowns: healthy soft tissue.

Situation after delivery of final crowns (3 months post-op).

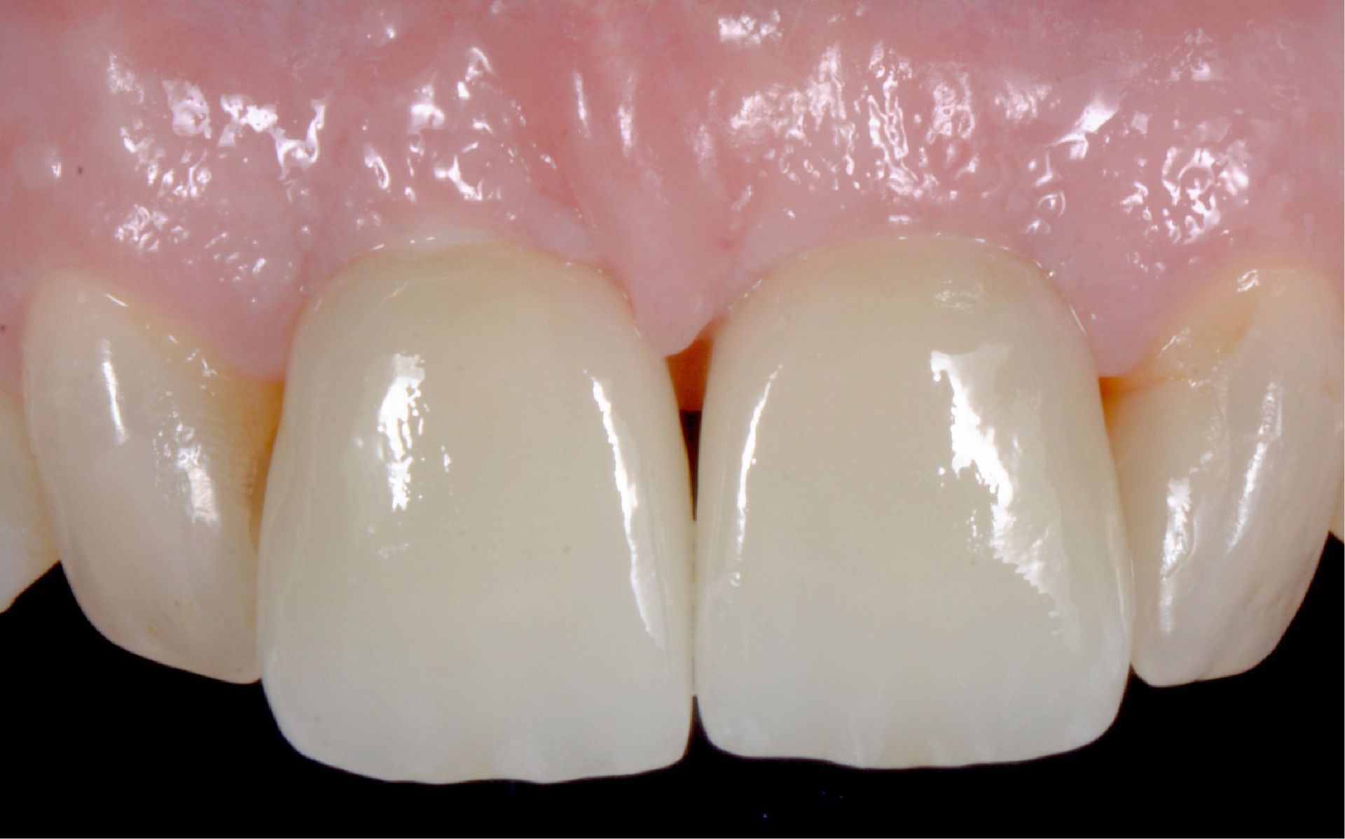
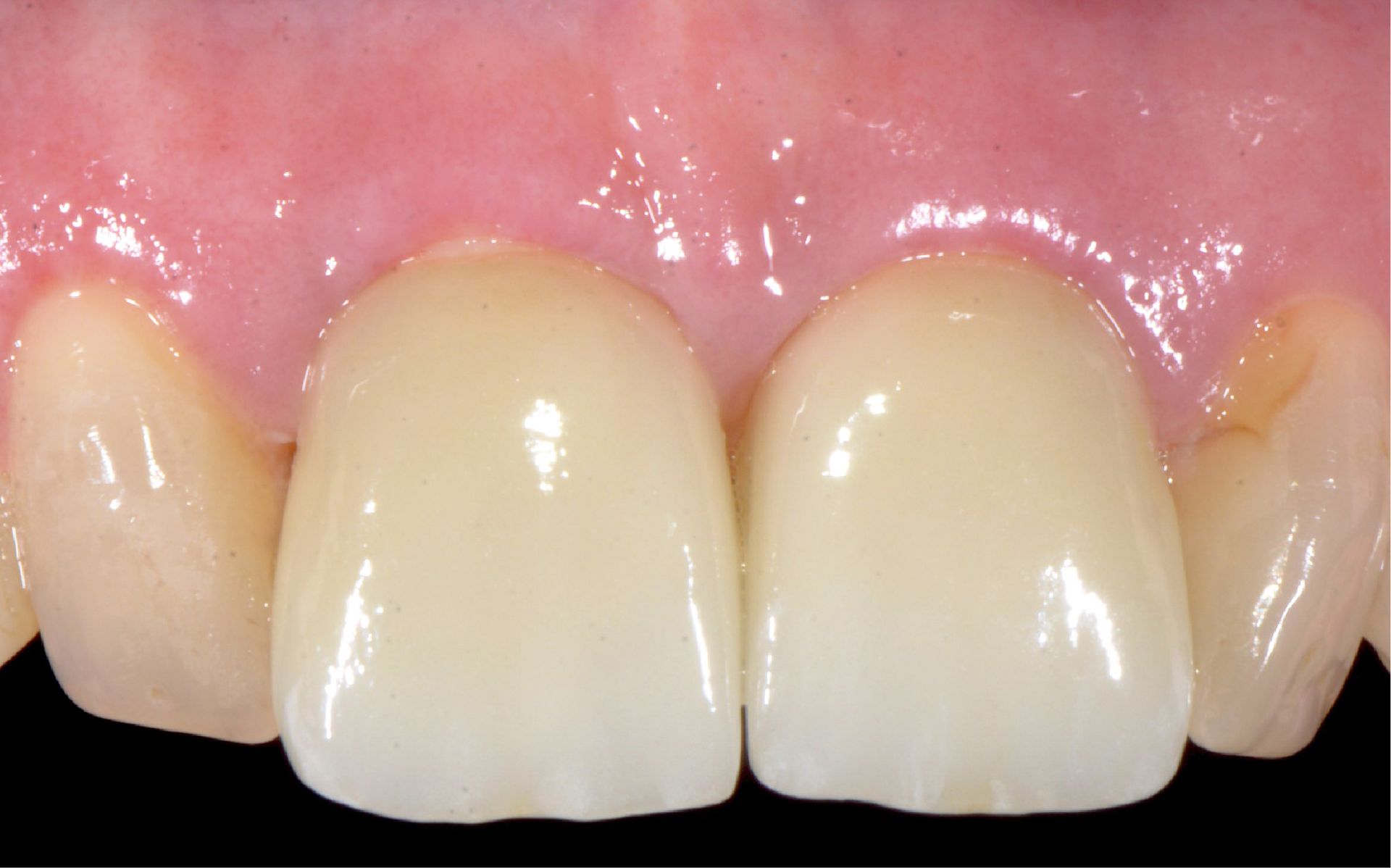
3 years after delivery of final crowns: healthy soft tissue.

2 years after delivery of final crowns: healthy soft tissue.

3 years after delivery of final crowns: healthy soft tissue.

2 years after delivery of final crowns: healthy soft tissue.

Clinical situation

Failing post-and-core restorations of teeth #11 and #21 required replacement. The patient requested a fixed tooth replacement solution. Planned treatment included removal of the failing restorations, extraction of the remaining tooth roots, immediate placement of two Patent™ Symbionic Teeth, and restoration with final crowns following successful integration.


Surgical solution

Vestibular incisions were made in regions #11 and #21. The old restorations were removed, and the tooth roots were extracted. The alveoli were curetted. A surgical guide was placed, and osteotomies were prepared according to the manufacturer’s protocol for D3 bone at 600 RPM. Symbionic Teeth were

inserted to moderate final torque. 


Restorative solution

Glass fiber posts were cemented and prepared 2 months post-surgery. A digital impression of the entire arch, including the prepared posts, was taken using an intraoral scanner. The posts were isolated with glycerin oil, and provisional crowns were cemented using a temporary cement mixture.

Final crowns were delivered after 3 months of healing.


Outcome

At the 3-year follow-up (Fig. 10), the situation is characterized by healthy and stable soft tissue, resulting in excellent esthetics.


Clinical situation

Failing post-and-core restorations of teeth #11 and #21 required replacement. The patient requested a fixed tooth replacement solution. Planned treatment included removal of the failing restorations, extraction of the remaining tooth roots, immediate placement of two Patent™ Symbionic Teeth, and restoration with final crowns following successful integration.


Surgical solution

Vestibular incisions were made in regions #11 and #21. The old restorations were removed, and the tooth roots were extracted. The alveoli were curetted. A surgical guide was placed, and osteotomies were prepared according to the manufacturer’s protocol for D3 bone at 600 RPM. Symbionic Teeth were

inserted to moderate final torque. 


Restorative solution

Glass fiber posts were cemented and prepared 2 months post-surgery. A digital impression of the entire arch, including the prepared posts, was taken using an intraoral scanner. The posts were isolated with glycerin oil, and provisional crowns were cemented using a temporary cement mixture.

Final crowns were delivered after 3 months of healing.


Outcome

At the 3-year follow-up (Fig. 10), the situation is characterized by healthy and stable soft tissue, resulting in excellent esthetics.