Se rendre au contenu

Reconstruction of a maxillary lateral incisor using an individualized narrow-diameter two-piece implant

Case report by Dr. Sofia Karapataki, Greece

Dr. Sofia Karapataki

Athens, Greece

T +30 210 671 138 0

info@skarapataki.gr

www.karapatakisofia.gr

Introduction

Reconstructing a lateral incisor in the maxilla poses particular challenges to the treating clinician. These include a lack of space and the high visibility of this area, necessitating the use of an implant system capable of delivering reliable long-term function even with a narrow diameter while providing excellent aesthetics characterized by healthy and stable soft tissue. In this case report, the use of an individualized narrow-diameter two-piece implant is detailed that addressed these challenges effectively.

Initial situation

The 40-year-old male patient presented with a congenital absence of tooth #12 (Figs. 1 & 2). He was a nonsmoker and presented with psoriasis and cataracts in both eyes. Additionally, his immunoglobulin E levels were elevated for no profound reason. The patient had undergone six months of clear aligner treatment (Invisalign, Align Technology; performed by Athens orthodontist Dr. Katerina Samantara) to widen the space sufficiently for implant placement.

Fig. 1: Initial situation. 


Fig. 2: Initial situation. 

Implant planning

Clinical and radiographic diagnostics were conducted to determine the interdental space and available bone quantity. Based on this information, I determined the ideal implant dimensions to restore this case. A narrow-diameter two-piece implant of 3.5 mm in diameter and 11.0 mm in length (Patent™ Dental Implant System, Zircon Medical Management) was individually designed using software (ImplantDesigner, Zircon Medical Management). The implant was then fabricated at the production plant of the manufacturer. It was planned to be inserted utilizing an open double-fixed surgical guide.

Surgical procedure

The surgical guide was placed in the mouth (Fig. 3), and a minimal semilunar incision was made to expose the bone crest. Bone quality classification revealed D2 for region #12. The osteotomy was then prepared according to the surgical protocol of the implant manufacturer for this specific bone class and under water cooling. The implant was then inserted with the scalloped finish line at the equigingival level and at a final torque of 15 Ncm (Fig. 4). Thereafter, its internal connection was sealed with an A-silicone (Fig. 5). Thanks to the minimally invasive, flapless approach employed, no sutures were needed to stabilize the tissue after implant insertion. No antibiotics were prescribed for the postoperative period; however, the patient was instructed to rinse with a hydrogen peroxide solution before implant placement and for a period of three weeks thereafter.

Fig. 3: Surgical guide in situ.

Fig. 4: Inserted implant.

Fig. 5: Inserted implant.

Healing

Healing progressed uneventfully. At the follow-up appointment after four months, the soft-tissue condition was deemed healthy and stable. No periodontal pockets were observed around the implant.

Prosthetic restoration

After four months, the glass fiber post, serving as the retentive element of the implant system used, was cemented into the implant’s internal connection using a dual-polymerizing cement (RelyX Unicem, 3M ESPE). Thereafter, it was prepared using high-speed diamond burs under water cooling (Fig. 6). The prepared post was then isolated with Vaseline oil and a provisional PMMA crown was cemented over it using temporary cement (Fig. 7). This crown was purposefully designed to provide interdental spaces to facilitate orthodontic refinement by the treating orthodontist. This final orthodontic treatment lasted three months. After a total of seven months, the patient received a multilayer zirconia crown as a definitive restoration (fabricated by Athens-based dental laboratory IPS Markoglou; Figs. 8–10).

Fig. 6: Cemented and prepared glass fiber post.

Fig. 7: After placement of the provisional crown. 

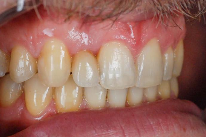
Fig. 8: After placement of the final crown.   

Fig. 9: After placement of the final crown.   

Fig. 10: Final radiograph.

Discussion

Implant insertion to a low to moderate torque (<35Ncm) is crucial to minimize compression of the surrounding bone, which would compromise its vitality and lead to remodeling. Only vital bone can facilitate swift and undelayed healing, which is the foundation for successful osseointegration and long-term hard and soft-tissue preservation. Considering that the bone was quite hard in the present case, using a low insertion torque was especially crucial to avoid the risk of fracture during insertion.

The implant used has a special cylindrical shape rather than the usual conical emergence profile of the standard implant shape in order to fit narrow spaces. Also, the platform has a scalloped design different from the usual flat one in order to follow the scallop of the soft tissue to support the aesthetic outcome of the smile. A challenge lies in properly positioning this curved shape during surgery at the buccal and palatal surfaces.

Treatment planning with the prosthetic outcome in mind is crucial. The final crown position must always be determined before any kind of surgical procedure is carried out, as the crown position determines where the implant must be placed. Additionally, when aiming for an equigingival placement with this implant, it is crucial not to torque its transmucosal portion into the cortical bone, as this would lead to bone compression, which in turn results in remodelling and subsequent bone loss. When placed correctly, however, this implant has been demonstrated in long-term studies to maintain the health and stability of the hard and soft tissue over a long period and to resist peri-implantitis effectively.1, 2

Conclusion

Thanks to its narrow diameter, the individualized two-piece implant system used was able to address the limited space in this case ideally. It promises to deliver excellent aesthetics over the long term in the highly visible anterior region thanks to its natural shade, equigingival design and optimized surface topography, which promotes healthy and stable soft tissue. Moreover, a minimal risk of biological complications such as peri-implantitis is expected with this implant system, as evidenced in independent long-term studies.

References

1. Karapataki S, Vegh D, Payer M, Fahrenholz H, Antonoglou GN. Clinical performance of two-piece zirconia dental implants after 5 and up to 12 years. Int J Oral Maxillofac Implants. 2023 Dec 12;38(6):1105–14. doi: 10.11607/jomi.10284. PMID: 38085741.

2. Brunello G, Rauch N, Becker K, Hakimi AR, Schwarz F, Becker J. Two-piece zirconia implants in the posterior mandible and maxilla: a cohort study with a follow-up period of 9 years. Clin Oral Implants Res. 2022 Dec;33(12):1233–44. doi: 10.1111/clr.14005. PMID: 36184914.

Immediate implant rehabilitation of the esthetic zone
A case report by Drs. Fabio Rossi & Filippo Battelli